オルソパントモグラフ OP 3D

パノラマ撮影と3D撮影が可能なエックス線診断装置「OP 3D」
世界で初めて歯科用パノラマ撮影機を製造販売した経験をベースに、DEXISがお届けする簡便かつ効率的な3D複合機です。さまざまな症例に適応するイメージング機能を搭載しており、最適なワークフローを実現します。
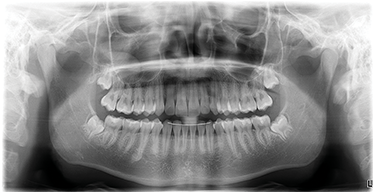
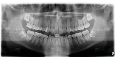
パノラマ撮影機能
最適なパノラマレイヤーを自動的に設定する ORTHOfocus™ 機能と、確実なポジショニングで最適なパノラマ画像を取得できます。撮影時間はわずか9秒、撮影中の被験者のブレを最小限にします。



セファロ撮影
特許も取得した革新的な ORTHOceph™ デザインは、セファロ撮影ワークフローを新次元にレベルアップします。
OP 3D は短い撮影時間・低い被ばく線量で矯正歯科診療において必要なあらゆるセファロ撮影プロトコルを有します。

ORTHOceph™ デザイン
※特許※取得のデザインにより、パノラマ撮影からセファロ撮影に移行する際の装置の高さ調整が最小化され、簡単で迅速なワークフロ一を実現します。
専用のX線管球とセンサ一技術の進化により、最小限の被ばく線量で質の高い画像を提供します。
※US特許番号:US9888891



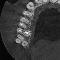
汎用性の高い3D撮影機能
OP 3D は、最適な3D撮影領域 (FOV)、解像度、および必要な領域を選択し、幅広く臨床に活用できる画像を取得します。同時に患者の被ばく線量も最少化します。
MARによる鮮明な画像
Metal Artfact Reduction (MAR) は、OP 3D のすべての撮影領域で適用され、金属により虚像の発生を最小限にします。


FOV Φ5 × H5cm
歯内療法、単冠インプラント、埋伏歯など、局所画像診断に最適な撮影範囲


FOV Φ9 × H6cm
上顎または下顎歯列弓をカバーする撮影領域。対合歯の咬合関係も確認可能。サージカルガイドなど


FOV Φ11 × H9cm
上下顎と上顎洞の一部を含む歯列全体をカバー


FOV Φ14 × H9cm※
顎顔面全体の領域を包含
※オプション


幅広い解像度
被ばく線量を最小限にする領域や顎顔面領域まで撮影領域の変更が可能です。

撮影ワークフローを最適化
患者ポジショニングや撮影条件の設定など、撮影に関わるワークフローを最適化し、術者のストレスを最小限にしました。
簡単な患者ポジショニング
OP 3D は、臨床効率を高めるように設計されています。直感的なアイコンを使用した操作パネルで患者導入を迅速かつ簡単にできます。

関心領域と連動する3D撮影領域の決定
ORTHOselect™ のユーザーインターフェイスで、目的の撮影領域を直感的に決定できます。単冠歯、複数歯、上顎、下顎、TMJの関心領域を選択するだけで、それに応じた撮影領域が自動的に決定されます。

プレビュー機能により正確な位置決めと撮影領域の調整
3Dスキャンを実撮影する前に、2次元のスカウト画像を取得します。SMARTVIEW 2.0™ インターフェイスに表示されたプレビュー画像は、正確な位置決めを確認できます。撮影したプレビュー画像からFOVの高さと幅を自由に調整できるため、臨床ニーズに応じたFOVサイズが選択できます。

迅速な画像確認
QUICKcompose™ 機能は、実撮影したパノラマおよび3D画像を迅速にレビューでき、タイムリーな評価が可能となります。

製品情報

PDFダウンロード
添付文書
製品カタログ
製品をよりよく知っていただくために
動画で見る「製品情報」「ユーザーインタビュー」、またPDFで「お客様の声」をご用意しています。
ぜひ、あわせてご覧ください。



