オルソパントモグラフ OP 3D Vision
※ 再生ボタンを押して、動画をご覧ください。
患者さんに優しい低被ばく線量で、正確な診断のみならず、驚きも与えることができます。
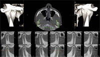
選択できる3D領域
グレードは3タイプ。いつでもアップグレードが可能
臨床ニーズに合わせて3D撮影領域を選択いただけます。
診療の幅とともに3D領域をアップグレードすることができ、将来の拡張性にも対応しています。

標準搭載とアップグレード表
低い被ばく線量
パルス発信で照射時間を劇的に短く
エックス線を連続照射するのではなく、画像データに応じて断続的に照射することで、患者さんの被ばく線量を大きく抑えます。
※東京~ニューヨーク間航空機片道の被ばく程度
新しい撮影モード「Quick Scan+」では更なる線量の低減に成功
高い精度と安全性を兼ね備えたエックス線のパルス照射技術。
「Quick Scan+」モードではエックス線の照射時間はわずか2秒。最小限の被ばく線量に抑えます。

こだわりの画質
画像がブレない「座位」による患者さんの固定
CT撮影時に最も重要な患者固定による「座位」での撮影仕様。考え抜いた患者固定デバイスで頭全体を包み込むようにしっかりと固定し、正確かつ簡単なポジショニングを実現します。
全周囲からの情報を得られる360°スキャニング
- 全周囲からの情報を得るために 360度回転して撮影します。
- 撮影中の回転角度を大きくすると、情報量が多くなり、画像データが補正できます。
- パノラマ撮影機をベースにしたCT撮影機は、その構造上200度前後の回転しかできない機種が多く、メタルアーチファクトを抑えることができません。
エックス線の水平入射
エックス線を水平に入射することで、エックス線の散乱を最小限にします。
金属アーチファクトを最小化し、関心部位への陰影障害を極小にします。

簡便なワークフロー
失敗の少ない確実な撮影を実現しています。
的確かつ迅速でストレスの無いワークフローにより、3D撮影の煩わしさを無くしました。

各グレードの診療領域

v8の診療領域
根管治療
根管数や破折を容易に確認
歯周疾患
歯槽骨や関連部位の状態把握
インプラント
歯肉状態を付与した補綴主導計画
v10の診療領域

TMJ
1回の撮影で両顆頭を取得
気道
気道変化を表面積マッピング
埋伏智歯
下歯槽神経と8番の関係性を把握
v17の診療領域

3DPhoto
顔写真マップで顔貌変化を予測
矯正
3Dトレーシングで正確な解析
スーパーインポーズ
咬合再構成を伴うケースでの術前後評価
製品情報
OP 3D Vision


| 販売名 | オルソパントモグラフOP 3D ビジョン | |
|---|---|---|
| 一般的名称 | アーム型X線CT診断装置 デジタル式歯科用パノラマ・断層撮影X線診断装置 |
|
| 管理医療機器 | 特定保守管理医療機器・設置管理医療機器 | |
| 認証番号 | 226AIBZX00015000 | |
| 重量 | 約230kg | |
| 電源電圧 | AC100V 50/60Hz | |
| 撮影時間 | 4.9秒/8.9秒/ 14.7秒/ 17.8秒/26.9秒(撮影条件による) | |
| エックス線照射方式 | パルス照射 | |
| エックス線照射時間 | 2.0秒/3.7秒/4.1秒/ 7.4秒(撮影条件による) | |
| 3D撮影領域 | V8 | 直径 8cm × 高さ5および8cm |
| V10 | V8領域に加えて直径 16cm × 高さ4, 6, 8, 10cm | |
| V17 |
V10領域に加えて直径 16cm × 高さ11, 13cm 直径 23cm × 高さ17cm |
|
| 階調度 | グレースケール16 bit /65,536階調 | |
| 画像再構成時間 | スタンダード60秒以下/QuickScan + 30秒以下 | |
| 画像ファイルサイズ | 50MB以下 | |
| 撮影モード | 2Dパノラマ撮影機能標準搭載 | |
PDFダウンロード
添付文書
製品カタログ
製品をよりよく知っていただくために
動画で見る「製品情報」「ユーザーインタビュー」、またPDFで「お客様の声」をご用意しています。
ぜひ、あわせてご覧ください。



